予約専用ダイヤル
予約受付時間 月~土曜日(祝日を除く)
午前9:00~11:30 午後13:00~16:15
診療のご案内Information on medical treatment
少し前の調査ですが<40歳以上の男女1175人の方に、ひざが痛くなったら、あなたは何をしていますか?>という調査に対してなんと、ほとんどの方が「何もせず我慢されている」のです。
「年のせい!?」にしなければひざの痛みは必ず良くなります。
では、ひざが痛いときに何を考えるのでしょうか?
①変形性ひざ関節症などは有名ですが(下図)
②関節リウマチ(下図)
③半月板損傷(下図)
④歩行中左ひざが痛くなった→骨粗鬆症による脆弱性骨折(下図)
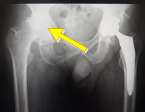
⑤転んだあと、右ひざが痛くて歩いて来院→大腿骨頚部骨折(下図)
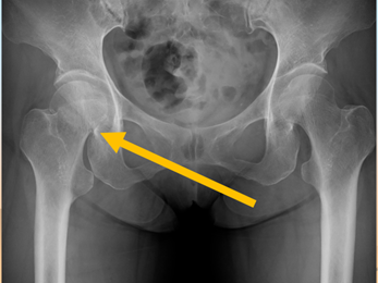
⑥右ひざが痛くて歩きづらい→変形性股関節症(下図)
じつは…
⑦右ひざの外側が痛くて、歩くと次第に痛みが強くなる

じつは…
腰部脊柱管狭窄症(ようぶせきちゅうかんきょうさくしょう) (腰の神経が狭い)
つまり、ひざばかりをみていても診断は出来ません。
あなたのひざは大丈夫ですか?
もちろん痛風発作、偽痛風発作など他にも原因は考えられますが、

こんな症状があるときはぜひ受診してください!

